蔡司体视显微镜SteREO Discovery 系列
[ 产品简介 ]
蔡司体视显微镜SteREO Discovery 系列采用先进技术设计和制造的研究级体视显微镜,可获得出色的立体显微成像效果。其在光学清晰度、稳定性及易用性方面树立了新质量标准。拥有电子变倍曲线的蔡司特有透镜,能够提供更清晰的三维图像并获得优异的对比度。
[ 产品特点 ]
- 优秀的人机学设计,提高观察舒适度
- 变倍比8:1/12.5:1/20:1
- 单孔位或3孔位物镜转盘
- 超大底座
- Z轴精度350nm
[ 应用领域 ]
- 生物学
- 医学和兽医学
- 微生物学
- 植物学
- 昆虫学
- 海洋生物学
- 地质学和古生物学
- 刑侦痕检和文检
- 工业QA/QC
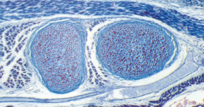
小鼠胚胎,染色,SteREO Discovery. V20,透射光明场,物镜PlanApo S 0.63x,放大倍率4.7x
小鼠胚胎,染色,SteREO Discovery. V20,透射光明场,物镜PlanApo S 0.63x,放大倍率94x
带有白色抗旱剂的电路板,SteREO Discovery. V8,反射光明场,放大15Xbio-equip.com
关于蔡司
蔡司是全球光学和光电领域的先锋。蔡司致力于开发、生产和行销测量技术、显微镜、医疗技术、眼镜片、相机与摄影镜头、望远镜和半导体制造设备。凭借其解决方案,蔡司不断推动光学事业的发展,并促进了技术进步。公司共有四大业务部门:工业质量与研究、医疗技术、视力保健/消费光学和半导体制造技术。蔡司集团在40多个国家/地区拥有30多座工厂、50多个销售与服务机构以及约25个研发机构。
全球约27,000名员工在2016/2017财年创造了约53亿欧元的业绩。公司于1846年在耶拿成立,总部位于德国奥伯科亨。卡尔蔡司股份公司是负责蔡司集团战略管理的控股公司。公司由Carl Zeiss Stiftung(卡尔蔡司基金会)全资所有。
蔡司研究显微镜解决方案
蔡司研究显微镜解决方案是光学、电子、X射线和离子显微镜系统的一站式制造商,并提供相关显微镜的解决方案。产品组合包括生命科学和材料研究以及工业,教育和临床实践有关的产品和服务。该部门的总部设立在耶拿。其他生产和开发基地位于奥伯科亨,哥廷根和慕尼黑,以及英国剑桥、美国马萨诸塞州皮博迪和美国加利福尼亚州普莱森顿。蔡司研究显微镜解决方案属于工业质量和研究部门。部门约6,300名员工在2016/2017财年创造了总额达15亿欧元的业绩。